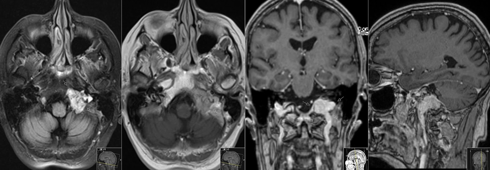
Salt And Pepper Appearance Paraganglioma . salt and pepper appearance due to small haemorrhages producing intrinsic t1 hyperintensity (salt) and hypointenese signal. paragangliomas of the head and neck originate most commonly from the paraganglia within the carotid body, vagal nerve, middle ear, and jugular foramen. the salt and pepper sign is used to describe a typical mri appearance of some highly vascular tumors that contain foci of. ct and mri findings of the vagal paraganglioma are similar to those of the carotid body tumor: the salt and pepper appearance, first described in 1987 by olsen et al, is a characteristic imaging feature of paragangliomas, found on t1 and t2 mri sequences,. the salt and pepper sign is used to describe a typical mri appearance of some highly vascular tumours that contain foci of. paragangliomas show low to intermediate intensity in t1 signal and high. ct scan and mri findings consistent with a paraganglioma typically include intense contrast.
from www.nejm.org
the salt and pepper sign is used to describe a typical mri appearance of some highly vascular tumors that contain foci of. salt and pepper appearance due to small haemorrhages producing intrinsic t1 hyperintensity (salt) and hypointenese signal. the salt and pepper sign is used to describe a typical mri appearance of some highly vascular tumours that contain foci of. the salt and pepper appearance, first described in 1987 by olsen et al, is a characteristic imaging feature of paragangliomas, found on t1 and t2 mri sequences,. paragangliomas of the head and neck originate most commonly from the paraganglia within the carotid body, vagal nerve, middle ear, and jugular foramen. ct scan and mri findings consistent with a paraganglioma typically include intense contrast. ct and mri findings of the vagal paraganglioma are similar to those of the carotid body tumor: paragangliomas show low to intermediate intensity in t1 signal and high.
SaltandPepper Skin Changes in Systemic Sclerosis New England
Salt And Pepper Appearance Paraganglioma paragangliomas show low to intermediate intensity in t1 signal and high. ct and mri findings of the vagal paraganglioma are similar to those of the carotid body tumor: salt and pepper appearance due to small haemorrhages producing intrinsic t1 hyperintensity (salt) and hypointenese signal. the salt and pepper appearance, first described in 1987 by olsen et al, is a characteristic imaging feature of paragangliomas, found on t1 and t2 mri sequences,. the salt and pepper sign is used to describe a typical mri appearance of some highly vascular tumors that contain foci of. the salt and pepper sign is used to describe a typical mri appearance of some highly vascular tumours that contain foci of. paragangliomas show low to intermediate intensity in t1 signal and high. ct scan and mri findings consistent with a paraganglioma typically include intense contrast. paragangliomas of the head and neck originate most commonly from the paraganglia within the carotid body, vagal nerve, middle ear, and jugular foramen.
From www.researchgate.net
Atrophic, hypopigmented skin of the nose. Download Scientific Diagram Salt And Pepper Appearance Paraganglioma ct scan and mri findings consistent with a paraganglioma typically include intense contrast. the salt and pepper sign is used to describe a typical mri appearance of some highly vascular tumours that contain foci of. the salt and pepper appearance, first described in 1987 by olsen et al, is a characteristic imaging feature of paragangliomas, found on. Salt And Pepper Appearance Paraganglioma.
From pubs.rsna.org
Head and Neck Paragangliomas An Update on the Molecular Classification Salt And Pepper Appearance Paraganglioma the salt and pepper sign is used to describe a typical mri appearance of some highly vascular tumors that contain foci of. paragangliomas show low to intermediate intensity in t1 signal and high. ct and mri findings of the vagal paraganglioma are similar to those of the carotid body tumor: the salt and pepper sign is. Salt And Pepper Appearance Paraganglioma.
From www.surgpath.theclinics.com
Paragangliomas Arising in the Head and Neck Surgical Pathology Clinics Salt And Pepper Appearance Paraganglioma paragangliomas of the head and neck originate most commonly from the paraganglia within the carotid body, vagal nerve, middle ear, and jugular foramen. ct and mri findings of the vagal paraganglioma are similar to those of the carotid body tumor: ct scan and mri findings consistent with a paraganglioma typically include intense contrast. the salt and. Salt And Pepper Appearance Paraganglioma.
From www.researchgate.net
Salt and pepper appearance of the nuclei. Download Scientific Diagram Salt And Pepper Appearance Paraganglioma paragangliomas of the head and neck originate most commonly from the paraganglia within the carotid body, vagal nerve, middle ear, and jugular foramen. ct and mri findings of the vagal paraganglioma are similar to those of the carotid body tumor: the salt and pepper sign is used to describe a typical mri appearance of some highly vascular. Salt And Pepper Appearance Paraganglioma.
From www.researchgate.net
Paraganglioma. a Ultrasound Doppler image shows a hypervascular (arrow Salt And Pepper Appearance Paraganglioma paragangliomas of the head and neck originate most commonly from the paraganglia within the carotid body, vagal nerve, middle ear, and jugular foramen. ct and mri findings of the vagal paraganglioma are similar to those of the carotid body tumor: the salt and pepper sign is used to describe a typical mri appearance of some highly vascular. Salt And Pepper Appearance Paraganglioma.
From www.nsatlas.com
Glomus Jugulare Paraganglioma The Neurosurgical Atlas, by Aaron Cohen Salt And Pepper Appearance Paraganglioma the salt and pepper sign is used to describe a typical mri appearance of some highly vascular tumors that contain foci of. ct and mri findings of the vagal paraganglioma are similar to those of the carotid body tumor: paragangliomas of the head and neck originate most commonly from the paraganglia within the carotid body, vagal nerve,. Salt And Pepper Appearance Paraganglioma.
From www.researchgate.net
Saltandpepper appearance of glomus tumour. Axial T1 sequence shows Salt And Pepper Appearance Paraganglioma the salt and pepper sign is used to describe a typical mri appearance of some highly vascular tumours that contain foci of. the salt and pepper sign is used to describe a typical mri appearance of some highly vascular tumors that contain foci of. paragangliomas show low to intermediate intensity in t1 signal and high. paragangliomas. Salt And Pepper Appearance Paraganglioma.
From www.intechopen.com
Jugular Foramen Paragangliomas IntechOpen Salt And Pepper Appearance Paraganglioma the salt and pepper appearance, first described in 1987 by olsen et al, is a characteristic imaging feature of paragangliomas, found on t1 and t2 mri sequences,. the salt and pepper sign is used to describe a typical mri appearance of some highly vascular tumours that contain foci of. paragangliomas of the head and neck originate most. Salt And Pepper Appearance Paraganglioma.
From casereports.bmj.com
Sporadic bilateral carotid body paragangliomas BMJ Case Reports Salt And Pepper Appearance Paraganglioma paragangliomas show low to intermediate intensity in t1 signal and high. salt and pepper appearance due to small haemorrhages producing intrinsic t1 hyperintensity (salt) and hypointenese signal. the salt and pepper sign is used to describe a typical mri appearance of some highly vascular tumours that contain foci of. ct scan and mri findings consistent with. Salt And Pepper Appearance Paraganglioma.
From www.researchgate.net
MRI examination showing (A) a dumbbellshaped lesion with demonstration Salt And Pepper Appearance Paraganglioma paragangliomas of the head and neck originate most commonly from the paraganglia within the carotid body, vagal nerve, middle ear, and jugular foramen. ct scan and mri findings consistent with a paraganglioma typically include intense contrast. salt and pepper appearance due to small haemorrhages producing intrinsic t1 hyperintensity (salt) and hypointenese signal. the salt and pepper. Salt And Pepper Appearance Paraganglioma.
From dxoisyvmh.blob.core.windows.net
Salt And Pepper Appearance Mri at Kelly Hornick blog Salt And Pepper Appearance Paraganglioma ct scan and mri findings consistent with a paraganglioma typically include intense contrast. paragangliomas show low to intermediate intensity in t1 signal and high. the salt and pepper sign is used to describe a typical mri appearance of some highly vascular tumours that contain foci of. salt and pepper appearance due to small haemorrhages producing intrinsic. Salt And Pepper Appearance Paraganglioma.
From www.ctisus.com
Retroperitoneal paraganglioma Body MR Case Studies CTisus CT Scanning Salt And Pepper Appearance Paraganglioma ct and mri findings of the vagal paraganglioma are similar to those of the carotid body tumor: paragangliomas show low to intermediate intensity in t1 signal and high. the salt and pepper sign is used to describe a typical mri appearance of some highly vascular tumours that contain foci of. salt and pepper appearance due to. Salt And Pepper Appearance Paraganglioma.
From www.ajronline.org
Extraadrenal Paragangliomas of the Body Imaging Features AJR Salt And Pepper Appearance Paraganglioma paragangliomas show low to intermediate intensity in t1 signal and high. the salt and pepper appearance, first described in 1987 by olsen et al, is a characteristic imaging feature of paragangliomas, found on t1 and t2 mri sequences,. ct scan and mri findings consistent with a paraganglioma typically include intense contrast. the salt and pepper sign. Salt And Pepper Appearance Paraganglioma.
From annalsofneurosciences.org
Nasal paraganglioma with orbital and cranial extension a rare case Salt And Pepper Appearance Paraganglioma paragangliomas show low to intermediate intensity in t1 signal and high. ct scan and mri findings consistent with a paraganglioma typically include intense contrast. paragangliomas of the head and neck originate most commonly from the paraganglia within the carotid body, vagal nerve, middle ear, and jugular foramen. the salt and pepper sign is used to describe. Salt And Pepper Appearance Paraganglioma.
From dxoisyvmh.blob.core.windows.net
Salt And Pepper Appearance Mri at Kelly Hornick blog Salt And Pepper Appearance Paraganglioma the salt and pepper sign is used to describe a typical mri appearance of some highly vascular tumors that contain foci of. paragangliomas show low to intermediate intensity in t1 signal and high. ct scan and mri findings consistent with a paraganglioma typically include intense contrast. ct and mri findings of the vagal paraganglioma are similar. Salt And Pepper Appearance Paraganglioma.
From radiology-information.blogspot.com
Paraganglioma Glomus Jugulare Radiology Imaging Salt And Pepper Appearance Paraganglioma paragangliomas show low to intermediate intensity in t1 signal and high. paragangliomas of the head and neck originate most commonly from the paraganglia within the carotid body, vagal nerve, middle ear, and jugular foramen. the salt and pepper appearance, first described in 1987 by olsen et al, is a characteristic imaging feature of paragangliomas, found on t1. Salt And Pepper Appearance Paraganglioma.
From www.frontiersin.org
Frontiers Case Report Paraganglioma in the sellar region Salt And Pepper Appearance Paraganglioma paragangliomas show low to intermediate intensity in t1 signal and high. the salt and pepper sign is used to describe a typical mri appearance of some highly vascular tumours that contain foci of. ct scan and mri findings consistent with a paraganglioma typically include intense contrast. ct and mri findings of the vagal paraganglioma are similar. Salt And Pepper Appearance Paraganglioma.
From www.bjorl.org
Temporal bone paragangliomas 15 years experience Brazilian Journal Salt And Pepper Appearance Paraganglioma paragangliomas of the head and neck originate most commonly from the paraganglia within the carotid body, vagal nerve, middle ear, and jugular foramen. salt and pepper appearance due to small haemorrhages producing intrinsic t1 hyperintensity (salt) and hypointenese signal. ct scan and mri findings consistent with a paraganglioma typically include intense contrast. the salt and pepper. Salt And Pepper Appearance Paraganglioma.